Какво представлява спондилолистезата
Спондилолистезата е състояние, при което един прешлен се приплъзва напред спрямо прешлена под него. Това може да доведе до промяна в подреждането на гръбначния стълб и в някои случаи да причини притискане или дразнене на нервните структури.
Най-често спондилолистезата се наблюдава в лумбалния отдел на гръбначния стълб, особено между прешлените L4–L5 и L5–S1. При това състояние стабилността на гръбначния сегмент може да бъде нарушена, което може да доведе до болка в кръста, ограничена подвижност или симптоми, които се разпространяват към краката.
При някои хора състоянието може да протича без изразени симптоми, докато при други може да доведе до болка, мускулно напрежение или неврологични симптоми.
Какво ще научите в тази страница
В тази страница ще намерите подробна информация за спондилолистезата, нейните причини, симптоми и възможностите за терапия.
-
Какво представлява спондилолистезата
-
Защо се получава приплъзване на прешлените
-
Най-честите причини
-
Симптоми при спондилолистеза
-
Как изглежда състоянието на MRI или рентген
-
Кога симптомите изискват по-сериозно внимание
-
Винаги ли е необходима операция
-
Как работим в TOPAL Center при спондилолистеза
Причини за спондилолистеза
Спондилолистезата може да се развие по различни причини, като най-често е свързана с промени в стабилността на гръбначния стълб. Тези промени могат да доведат до приплъзване на един прешлен спрямо друг.
Най-честите причини за спондилолистеза включват:
Дегенеративни промени в гръбначния стълб
С времето междупрешленните дискове и ставите на гръбначния стълб могат да претърпят дегенеративни промени. Това може да намали стабилността на гръбначния сегмент и да доведе до постепенно приплъзване на прешлен.
Вродени особености
При някои хора структурата на прешлените или ставите може да бъде различна още от раждането, което увеличава риска от развитие на спондилолистеза.
Повтарящо се механично натоварване
Определени спортове или дейности, които включват чести движения на разгъване в кръста, могат да увеличат натоварването върху гръбначните сегменти.
Травми
В някои случаи травма на гръбначния стълб може да доведе до нарушаване на стабилността между прешлените.
Симптоми при спондилолистеза
Симптомите при спондилолистеза могат да бъдат различни при всеки пациент и зависят от степента на приплъзване на прешлена и дали има дразнене на нервните структури.
Най-честите симптоми включват:
-
болка в кръста
-
мускулно напрежение в кръста
-
ограничена подвижност
-
болка, която може да се разпространява към седалището или краката
-
изтръпване или мравучкане в краката
-
слабост в краката
При някои пациенти симптомите могат да се засилват при продължително стоене, ходене или физическо натоварване.
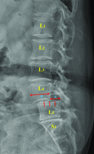
Как изглежда спондилолистезата на образно изследване
Спондилолистезата най-често се установява чрез образни изследвания като рентгенография или MRI. Тези изследвания позволяват да се види позицията на прешлените и дали има приплъзване между тях.
На рентген или MRI може да се наблюдава:
-
приплъзване на един прешлен спрямо друг
-
промени в междупрешленния диск
-
стеснение на пространството около нервните структури
-
дегенеративни промени в ставите на гръбначния стълб
Образните изследвания дават важна информация за структурата на гръбначния стълб, но винаги трябва да се интерпретират заедно със симптомите на пациента.


Кога симптомите при спондилолистеза изискват по-сериозно внимание
В някои случаи симптомите при спондилолистеза могат да бъдат леки и да се появяват само при определени движения или физическо натоварване. В други ситуации обаче симптомите могат да се засилят и да започнат да ограничават ежедневните дейности.
По-сериозно внимание е необходимо, когато се наблюдават:
-
силна и постоянна болка в кръста
-
болка, която се разпространява към крака
-
изтръпване или мравучкане в крака
-
слабост в краката
-
затруднение при ходене или продължително стоене
Когато подобни симптоми се появят или започнат да се влошават, е важно състоянието на гръбначния стълб да бъде оценено внимателно.
Каква е целта на терапията при спондилолистеза
Терапията при спондилолистеза обикновено е насочена към подобряване на стабилността и функцията на гръбначния стълб, както и към намаляване на механичното натоварване върху засегнатия сегмент.
Основните цели на терапевтичния подход включват:
-
намаляване на болката
-
подобряване на подвижността на гръбначния стълб
-
намаляване на дразненето на нервните структури
-
подобряване на стабилността на гръбначния сегмент
-
връщане към по-нормална ежедневна активност
Подходящата терапия може да помогне за подобряване на функцията на гръбначния стълб и за намаляване на симптомите.
Винаги ли е необходима операция при спондилолистеза
Не във всички случаи спондилолистезата изисква оперативно лечение. В много ситуации симптомите могат да бъдат повлияни чрез консервативни терапевтични методи, насочени към подобряване на функцията на гръбначния стълб.
Оперативно лечение обикновено се обсъжда при по-тежки случаи, когато има значително приплъзване на прешлена или когато симптомите се влошават прогресивно и силно ограничават ежедневните дейности.
В много други случаи подходящият терапевтичен подход може да помогне за намаляване на болката и подобряване на подвижността без необходимост от хирургична намеса.
Как работим в TOPAL Center при спондилолистеза
В TOPAL Center подхождаме към проблемите на гръбначния стълб с индивидуален и комбиниран терапевтичен подход. При пациенти със спондилолистеза основната цел е да се подобри стабилността на гръбначния сегмент и да се намали механичното натоварване върху засегнатата зона.
След внимателна оценка на състоянието се изготвя индивидуален терапевтичен план, който може да включва комбинация от различни методи според нуждите на пациента.
В терапевтичния подход могат да бъдат включени:
-
мануална терапия и мобилизация на гръбначния стълб
-
терапия с Manuthera, която позволява по-прецизна работа върху различни сегменти на гръбначния стълб
-
декомпресионни и тракционни техники, насочени към намаляване на натоварването върху нервните структури
-
физиотерапевтични апарати, които могат да бъдат част от комбинирания терапевтичен подход
-
упражнения за стабилизация и контрол на движението, насочени към подобряване на стабилността на гръбначния стълб
Целта на терапията е постепенно подобряване на функцията на гръбначния стълб и намаляване на симптомите.
Колко терапевтични сеанса са необходими при спондилолистеза
Броят на терапевтичните сеанси може да бъде различен при всеки пациент. Той зависи от степента на приплъзване на прешлена, продължителността на симптомите и общото състояние на гръбначния стълб.
При много пациенти първите подобрения могат да се усетят още в първите няколко сеанса. В някои случаи терапевтичният процес може да включва серия от около 6–10 сеанса, но точният брой винаги се определя индивидуално според състоянието и реакцията на организма към терапията.
Целта на терапията е постепенно намаляване на болката, подобряване на подвижността и стабилността на гръбначния сегмент.
Свързани проблеми в лумбалния отдел
Спондилолистезата често може да бъде свързана и с други проблеми на гръбначния стълб, които също могат да причинят болки в кръста или симптоми към краката.
Други често срещани проблеми в лумбалния отдел са:
-
Остеохондроза
-
Фасетен синдром
-
Ишиас
Всеки от тези проблеми има своите особености и изисква индивидуален подход при оценката и терапията.
Ако имате болка в кръста, изтръпване или слабост в краката, е важно състоянието на гръбначния стълб да бъде оценено внимателно. В TOPAL Center работим с индивидуален и комбиниран терапевтичен подход при различни проблеми на гръбначния стълб. Ако имате въпроси или искате да запишете час за оценка на състоянието, можете да се свържете с нас.


